vivanboneandwomencare@gmail.com +91 8951237729

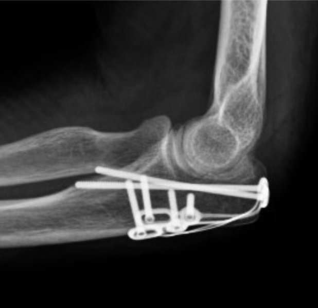
Fracture Fixation

Fracture fixation stabilizes extremely misaligned broken bones by “re-setting,” or “reduction,” by using splints, casts, and implants

A fracture is a break in a bone. This may result in deformity and pain. In addition, some fractures are known to have poor healing rates (a non-union). Because of these, modern fracture treatment often consists of ‘internal fixation’ which means fixation using plates, screws or nails which are inside the body (as opposed to external fixation which is pins or wires outside the body). As some fractures may result in deformity, poor function or post traumatic degeneration, your surgeon may recommend fixation. While some fractures may heal in a plaster or sling, there can be pain for several weeks while the fracture is unstable and fixing these allows earlier return to function and patients may elect to have treatment by internal fixation for this reason.

How is internal fixation done?

While the patient is under anaesthesia, cuts are made in the skin and a surgical approach through or between muscles used to gain access to the fracture. The fracture is aligned then fixation appropriate to the fracture used to stabilise the bone

Examples of these are:

  • Plate and screw constructs
  • Wires
  • Nails or rods.
  • Diagnostic Laparoscopy
  • Ovarial Drilling
  • Ovarian Cystectomy
  • Ovarion Torsion
  • Operative Laparoscopy for Endometriosis
  • Tubectomy
  • Tubal Recanalization
  • Tubal Clipping
  • Salpingectomy for Ectopic
  • Myomectomy(Multiple & Large)
  • Aden myomectomy
  • Laparoscopy for Uterine Anomalies
  • Hysterectomy
  • Bilateral Salpingectomy + Oophorectomy
  • Adhesiolysis
  • Laparoscopic Encerllage
  • Pregnancy with Ovarian Torsion / Cysts